Table of Contents
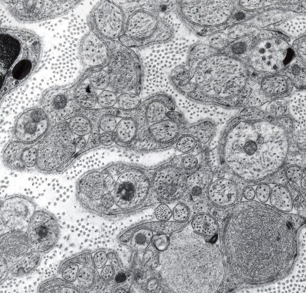
Washington University Experience | PERIPHERAL NEUROPATHY | 5 AXONAL REGENERATION | 1A8 Regeneration, ileal mesenteric crushed nn (IV-47, DM7A-1 EM a
In these rats the mesenteric nerve (completely unmyelinated in rat) distal to the superior mesenteric ganglion was crushed and the downstream branches sampled a few days later. Crushing the rat mesenteric nerve demonstrates similar regenerative phenomena in unmyelinated axons. Note side by side axon sprouts. (electron micrographs)
