Table of Contents
Washington University Experience | PERIPHERAL NEUROPATHY | 5 AXONAL REGENERATION | 2A3 Axons, regeneration (IV-55) Rat sciatic EM 64
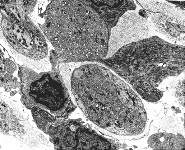
2A3-6 Very large growth cones filled with densely compacted material were seen in obstructed regenerating axons. (electron micrographs)
