Table of Contents
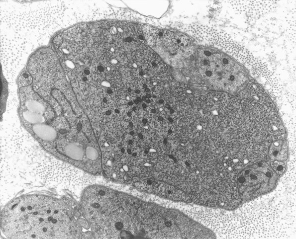
Washington University Experience | PERIPHERAL NEUROPATHY | 5 AXONAL REGENERATION | 2A4 Axons, regeneration (IV-55) Rat sciatic EM 5
Very large growth cones filled with densely compacted material were seen in obstructed regenerating axons. (electron micrographs)
