Table of Contents
Washington University Experience | PERIPHERAL NEUROPATHY | 5 AXONAL REGENERATION | 2A5 (IV-55) EM 28
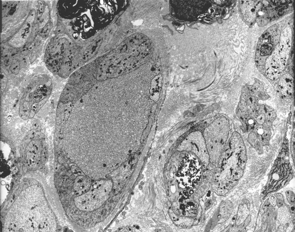
Very large growth cones filled with densely compacted material were seen in obstructed regenerating axons. (electron micrographs)
