Table of Contents



Washington University Experience | PERIPHERAL NEUROPATHY | 5 AXONAL REGENERATION | 2A7 (IV-55) EM 63

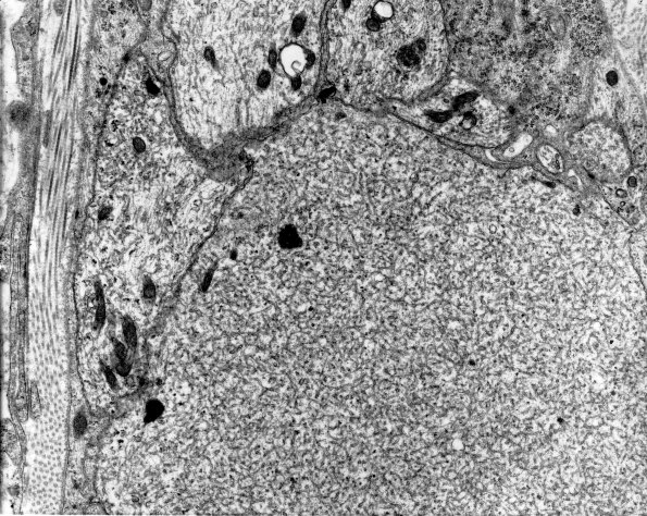
2A7 (IV-55) EM 63
Delicate tubulovesicular material is characteristic of enlarged growth cones. (electron micrograph)


Gallery RSS RSS Feed | Archive View | Login | Powered by Zenphoto