Table of Contents
Washington University Experience | PERIPHERAL NEUROPATHY | 5 AXONAL REGENERATION | 3A1 SLE (Case 1) Plastic 2.jpg
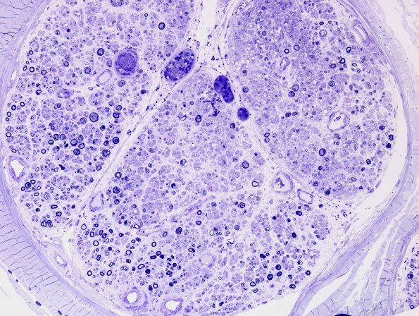
3A1-3 In this case a patient with systemic lupus erythematosus developed microthrombi in multiple endoneurial vessels with resultant local axonal degeneration. The process in this patient produced numerous regenerative and degenerative pathology involving a small area of the endoneurium with numerous examples of pathology described here in detail. In most neuropathies ongoing active regeneration with growth cones is typically rare (see later 11-12 series in this album). (electron micrographs)
