Table of Contents
Washington University Experience | PERIPHERAL NEUROPATHY | 5 AXONAL REGENERATION | 3A2 SLE (Case 1) Plastic 1.jpg
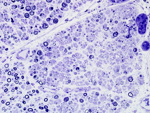
In this case a patient with systemic lupus erythematosus developed microthrombi in multiple endoneurial vessels with resultant local axonal degeneration. The process in this patient produced numerous regenerative and degenerative pathology involving a small area of the endoneurium with numerous examples of pathology described here
