Table of Contents
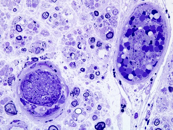
Washington University Experience | PERIPHERAL NEUROPATHY | 5 AXONAL REGENERATION | 3A3 SLE NP vasculitis (Case 1) 100X.jpg
Vascular occlusion resulting in focal infarcts and regenerative elements in large numbers. (Plastic section)
