Table of Contents
Washington University Experience | PERIPHERAL NEUROPATHY | 5 AXONAL REGENERATION | 3B11A (Case 1) copy - Copy
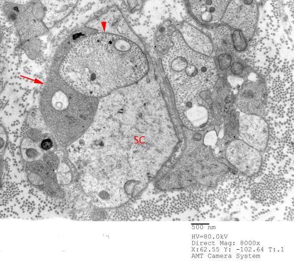
3B11A,B Axonal processes may be dense (arrow) or pale with marginated microtubules (arrowhead), both adjacent to a Schwann cell (SC). (electron micrographs)
