Table of Contents



Washington University Experience | PERIPHERAL NEUROPATHY | 5 AXONAL REGENERATION | 3B13A SLE Case 1 (May 2014)_046 - Copy

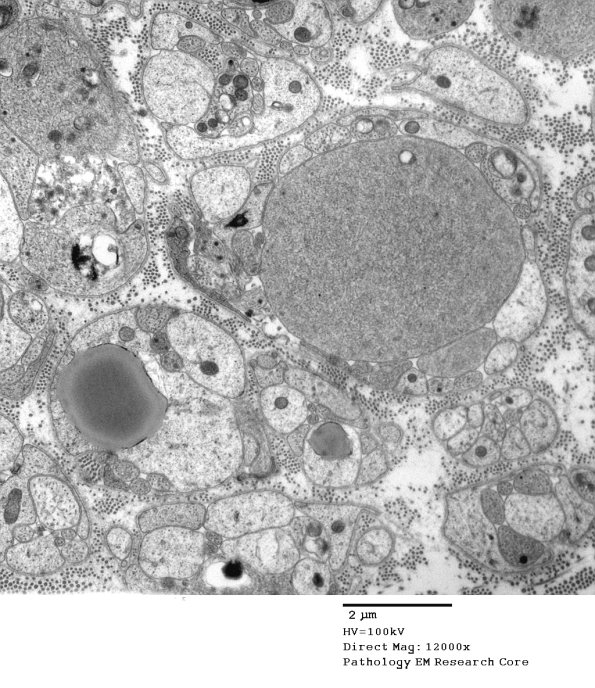
3B13A SLE Case 1 (May 2014)_046 - Copy
3B13A,B Markedly enlarged dystrophic axon. (electron micrographs)


Gallery RSS RSS Feed | Archive View | Login | Powered by Zenphoto