Table of Contents



Washington University Experience | PERIPHERAL NEUROPATHY | 5 AXONAL REGENERATION | 3B14 SLE Case 1 (May 2014)_063 - Copy

3B14 SLE Case 1 (May 2014)_063 - Copy
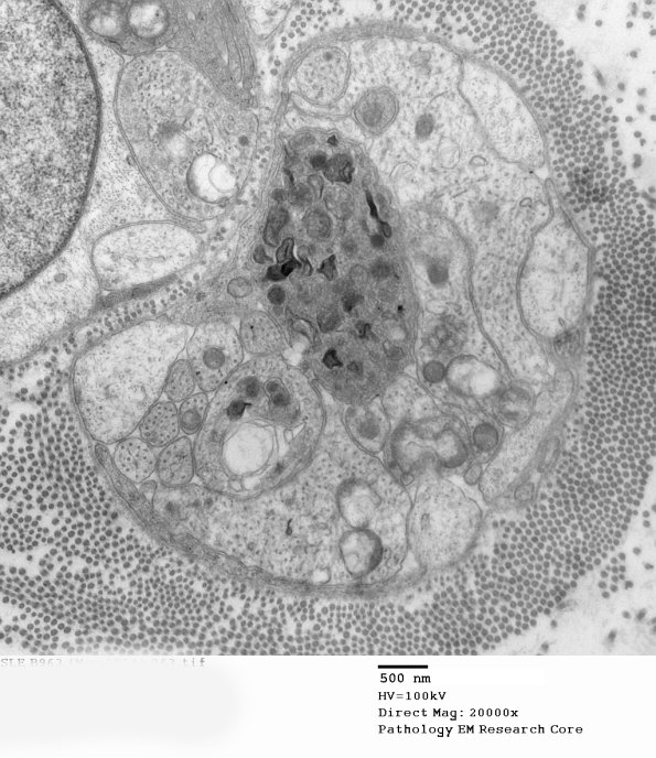
Some processes with autophagosomes may be in the process of being pruned. (electron micrograph)


Gallery RSS RSS Feed | Archive View | Login | Powered by Zenphoto