Table of Contents



Washington University Experience | PERIPHERAL NEUROPATHY | 5 AXONAL REGENERATION | 3B15A SLE Case 1)_067 - Copy

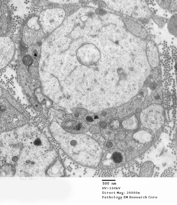
3B15A SLE Case 1)_067 - Copy
3B15A,B Pale Schwann cell processes are accompanied by numerous axonal sprouts. (electron micrographs)


Gallery RSS RSS Feed | Archive View | Login | Powered by Zenphoto