Table of Contents
Washington University Experience | PERIPHERAL NEUROPATHY | 5 AXONAL REGENERATION | 3B2 SLE EM009 - Copy
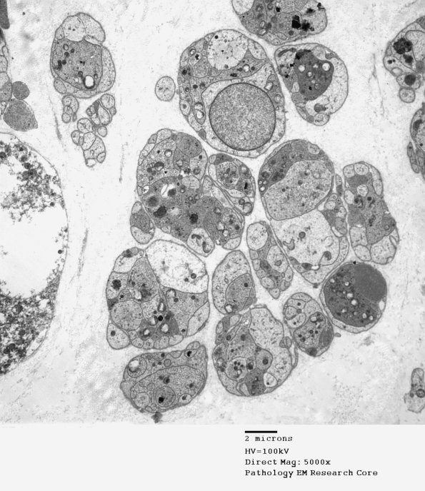
Numerous regenerative axons in Schwann cell tubes. In most cases axons and Schwann cell processes can be separated on the basis of density, shape and contents but small processes may not be separable morphologically. Schwann cell cytoplasm in this case is pale and denser processes appear to be axons. (electron micrograph)
