Table of Contents
Washington University Experience | PERIPHERAL NEUROPATHY | 5 AXONAL REGENERATION | 3B2A SLE Case 1)_013 - Copy
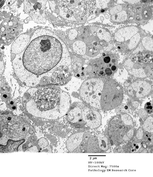
Some axons contain collections of cytosome filled processes probably from interruption of axonal transport. Notice the pale Schwann cell cytoplasm in the nucleated cell. (electron micrographs)
