Table of Contents
Washington University Experience | PERIPHERAL NEUROPATHY | 5 AXONAL REGENERATION | 3B3 Axonal regeneration, SLE NP Vasculitis (Case 1)_003 - Copy
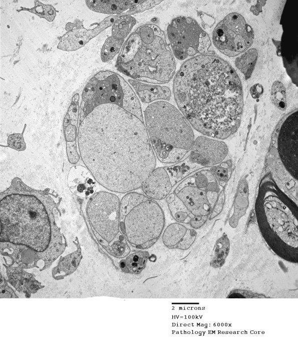
Regenerating axons differ markedly in consistency containing tubulovesicles, mitochondria and autophagosomes. Very large pale processes such as these are rarely Schwannian in origin. (electron micrograph)
