Table of Contents



Washington University Experience | PERIPHERAL NEUROPATHY | 5 AXONAL REGENERATION | 3B4A SLE NP Vasculitis (Case 1)_014 - Copy

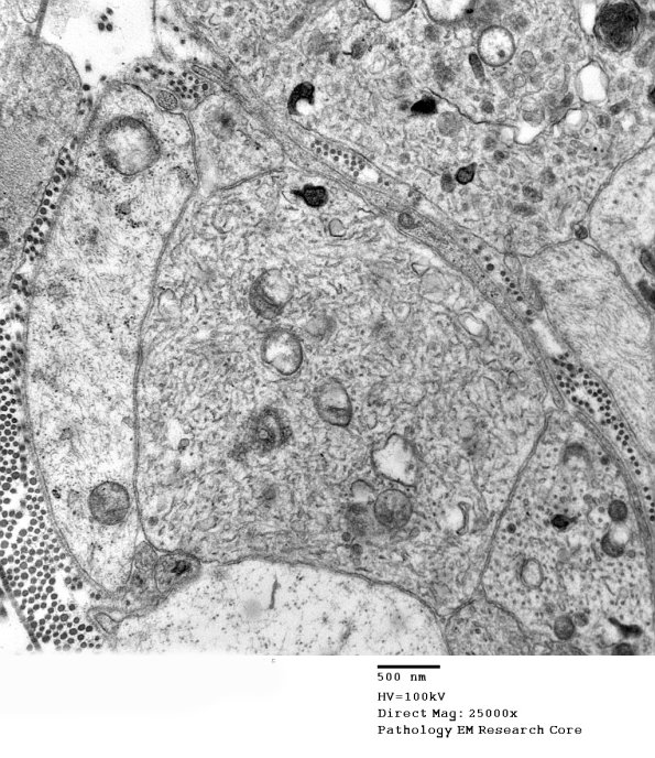
3B4A SLE NP Vasculitis (Case 1)_014 - Copy
3B4A,B Many axons are dominated by tubulovesicular processes. (electron micrographs)


Gallery RSS RSS Feed | Archive View | Login | Powered by Zenphoto