Table of Contents



Washington University Experience | PERIPHERAL NEUROPATHY | 5 AXONAL REGENERATION | 3B4B SLE NP Vasculitis (Case 1)_015 - Copy

3B4B SLE NP Vasculitis (Case 1)_015 - Copy
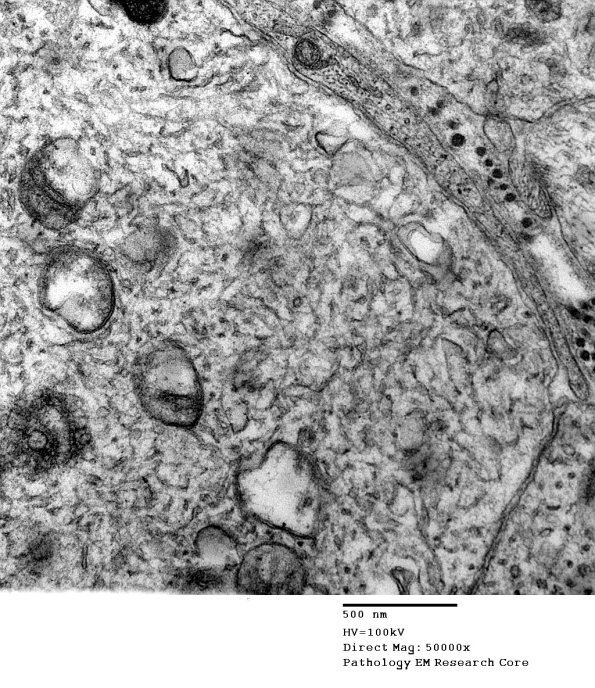
Many axons are dominated by tubulovesicular processes. (electron micrographs)


Gallery RSS RSS Feed | Archive View | Login | Powered by Zenphoto