Table of Contents



Washington University Experience | PERIPHERAL NEUROPATHY | 5 AXONAL REGENERATION | 3B5 AR SLE EM025 - Copy

3B5 AR SLE EM025 - Copy
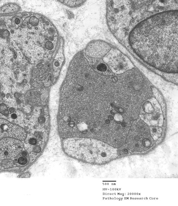
Particularly dense aggregates consist of tubulovesicular processes. (electron micrographs)


Gallery RSS RSS Feed | Archive View | Login | Powered by Zenphoto