Table of Contents



Washington University Experience | PERIPHERAL NEUROPATHY | 5 AXONAL REGENERATION | 3B5A AR (Case 1) SLE EM026 - Copy

3B5A AR (Case 1) SLE EM026 - Copy
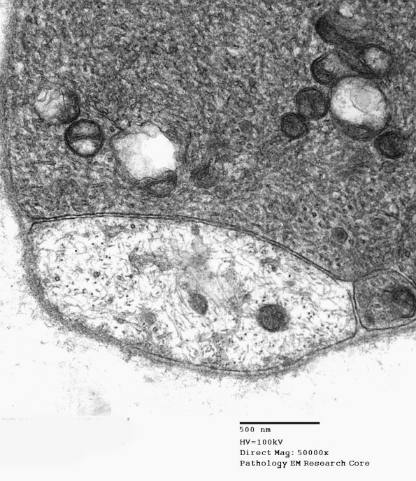
Higher magnification shows the growth cone adjacent to a pale Schwannian process. (electron micrograph)


Gallery RSS RSS Feed | Archive View | Login | Powered by Zenphoto