Table of Contents
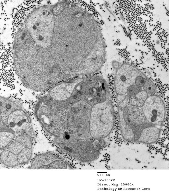
Washington University Experience | PERIPHERAL NEUROPATHY | 5 AXONAL REGENERATION | 3B6A Axonal regeneration, SLE NP Vasculitis (Case 1)_058 - Copy
A particularly photogenic collection of processes is seen at higher magnification in images #3B6A-C. (electron micrograph).
