Table of Contents
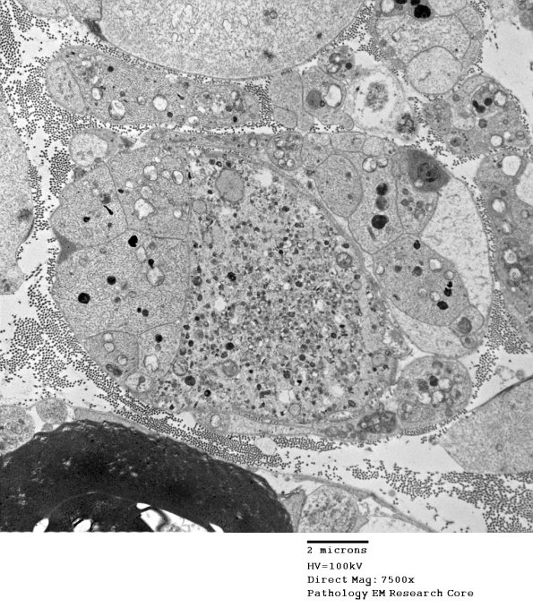
Washington University Experience | PERIPHERAL NEUROPATHY | 5 AXONAL REGENERATION | 3B7 Axonal regeneration, SLE NP Vasculitis (Case 1)_018 - Copy
Variation in content between regenerating growth cones is seen at higher magnification in 3B7A,B. (electron micrographs)
