Table of Contents
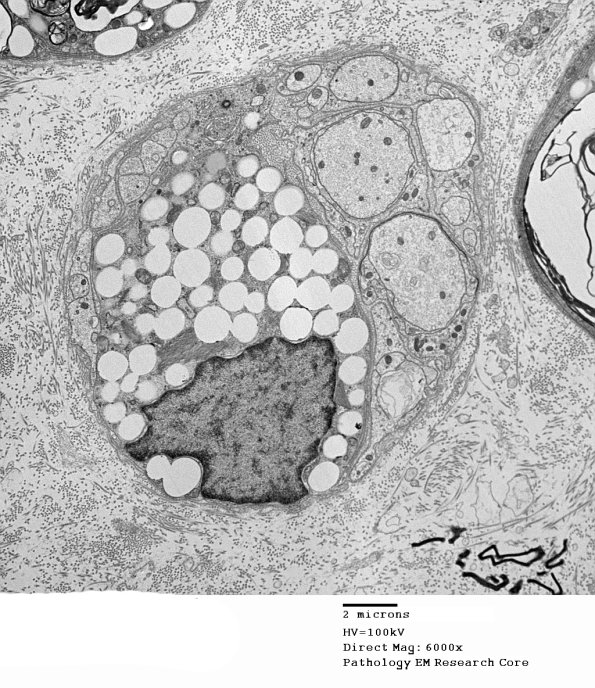
Washington University Experience | PERIPHERAL NEUROPATHY | 5 AXONAL REGENERATION | 4B1 Axonal Regeneration (Case 3) EM 027 - Copy
4B1,2 These images are of a macrophage with metabolized axon and myelin debris intimately associated with a Schwann cell with regenerating axons. One axon shows beginning remyelination. (electron micrographs)
