Table of Contents
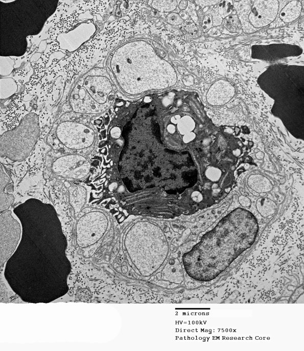
Washington University Experience | PERIPHERAL NEUROPATHY | 5 AXONAL REGENERATION | 4B3 Axonal Regeneration (Case 3) EM 044 (2) - Copy
4B3,4 In this case a macrophage with numerous pseudopods has invaded this Schwann cell axon unit and has engulfed and metabolized axon and myelin debris. (electron micrographs)
