Table of Contents
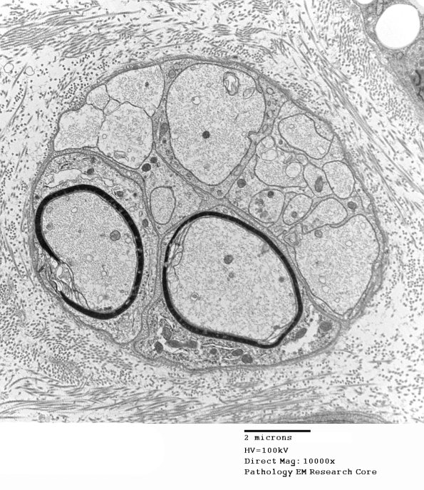
Washington University Experience | PERIPHERAL NEUROPATHY | 5 AXONAL REGENERATION | 4B5 Axonal Regeneration (Case 3) EM 017 - Copy
4B5-8 Multiple examples of regenerating axons beginning to mature with myelination of larger axons and maturation of their cytoskeleton in the presence of numerous smaller axons which will be lost with time. (electron micrographs)
