Table of Contents
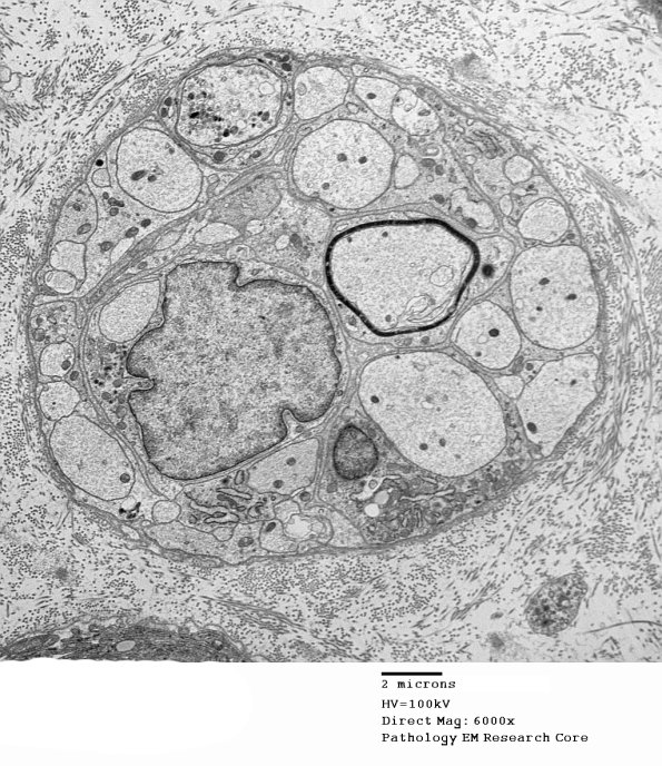
Washington University Experience | PERIPHERAL NEUROPATHY | 5 AXONAL REGENERATION | 4B7 Axonal Regeneration (Case 3) EM 019 - Copy
Another example of a regenerating axon beginning to mature with myelination of larger axons and maturation of their cytoskeleton in the presence of numerous smaller axons which will be lost with time. (electron micrographs)
