Table of Contents
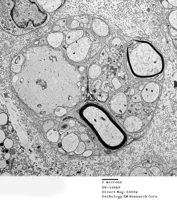
Washington University Experience | PERIPHERAL NEUROPATHY | 5 AXONAL REGENERATION | 4B8 Axonal Regeneration (Case 3) EM 039 - Copy
An additional example of regenerating axons beginning to mature with myelination of larger axons and maturation of their cytoskeleton in the presence of numerous smaller axons which will be lost with time. (electron micrographs)
