Table of Contents
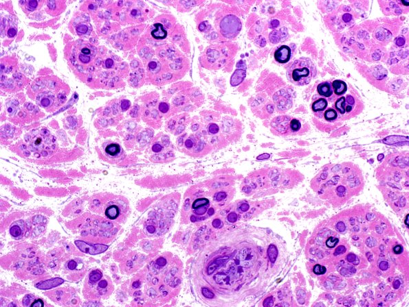
Washington University Experience | PERIPHERAL NEUROPATHY | 5 AXONAL REGENERATION | 5A2 Pyronine Thionine Stain (Case 4) Plastic 18.jpg
The next stage of regeneration is the formation of regenerative clusters consisting of 3-4 thinly myelinated axons crowded together. (Pyronine Thionine stain)
