Table of Contents
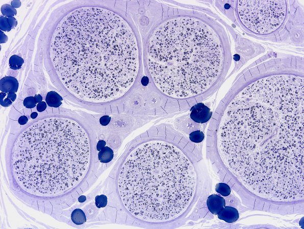
Washington University Experience | PERIPHERAL NEUROPATHY | 5 AXONAL REGENERATION | 5B1 Axonal Degeneration & Regeneration (Case 5) Plastic 1
5B1-3 Plastic sections showing numerous regenerative clusters. (Toluidine blue stained one-micron thick plastic sections)
