Table of Contents
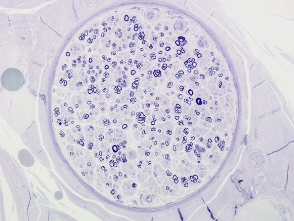
Washington University Experience | PERIPHERAL NEUROPATHY | 5 AXONAL REGENERATION | 5B2 Axonal Degeneration & Regeneration (Case 5) Plastic 5 (3)
Plastic sections showing numerous regenerative clusters. (Toluidine blue stained one-micron thick plastic sections)
