Table of Contents
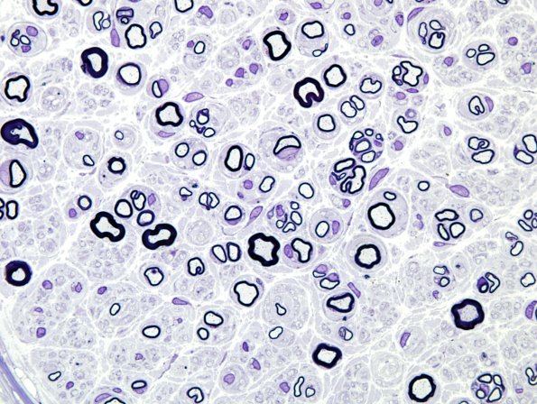
Washington University Experience | PERIPHERAL NEUROPATHY | 5 AXONAL REGENERATION | 5D2 Regeneration (Case 7) Plastic 3
A case in which regenerative clusters are particularly discrete and delimited by the original axon basement membrane. (Toluidine blue stained one-micron thick plastic sections)
