Table of Contents
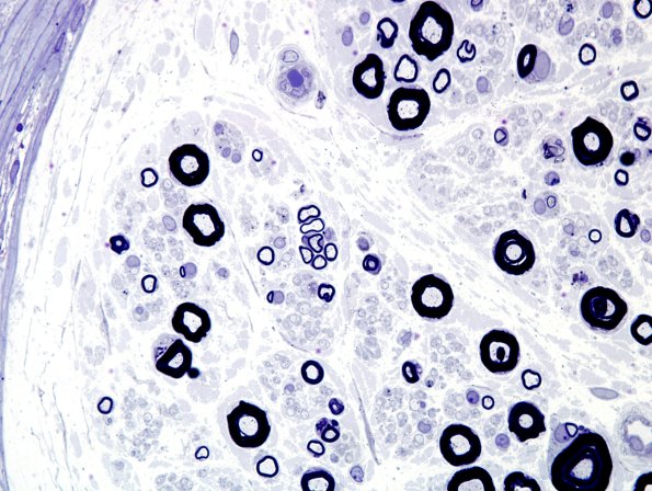
Washington University Experience | PERIPHERAL NEUROPATHY | 5 AXONAL REGENERATION | 5E Regeneration after degeneration (thin for caliber) (Case 8) Plastic 1
If small myelinated axons are significantly diminished in number overall, regenerative clusters are more easily demonstrated. (Toluidine blue stained one-micron thick plastic sections)
