Table of Contents
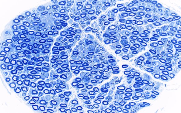
Washington University Experience | PERIPHERAL NEUROPATHY | 5 AXONAL REGENERATION | 6A1 Regenerative clusters (Case 9) 40X
6A1,2 What appear to be regenerative clusters in this nerve with a well preserved overall axon population is a common appearance of the anterior interosseus nerve. (Toluidine blue stained one-micron thick plastic sections)
