Table of Contents
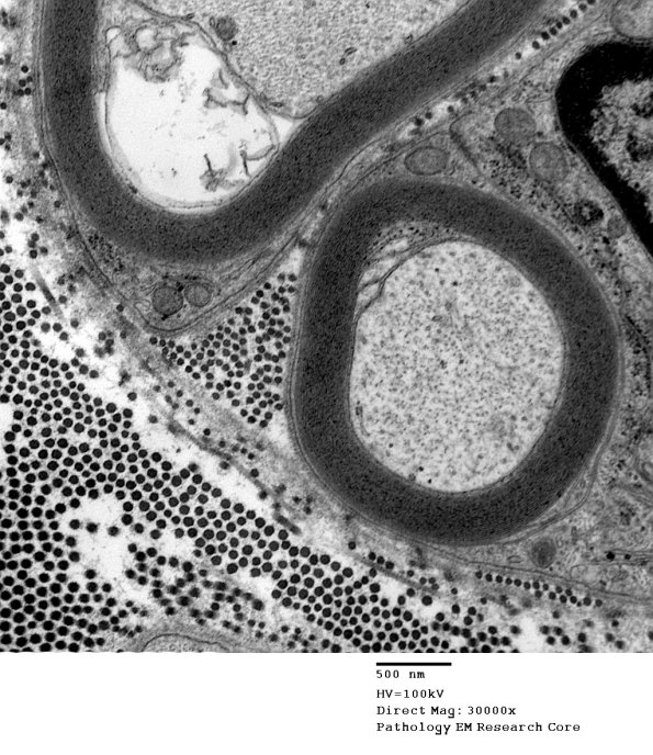
Washington University Experience | PERIPHERAL NEUROPATHY | 5 AXONAL REGENERATION | 7A2 Axonal Degeneration (Case 10) EM 036 - Copy
7A2-5 Showing the common basal membrane in images proceeding in a counterclockwise pattern from the arrow in image #7A1. (electron micrographs)
