Table of Contents



Washington University Experience | PERIPHERAL NEUROPATHY | 5 AXONAL REGENERATION | 7A4 Axonal Degeneration (Case 10) EM 039 - Copy

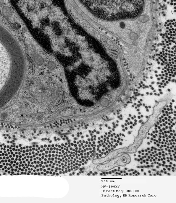
7A4 Axonal Degeneration (Case 10) EM 039 - Copy
Higher magnification of image #7A1. (electron micrograph)


Gallery RSS RSS Feed | Archive View | Login | Powered by Zenphoto