Table of Contents



Washington University Experience | PERIPHERAL NEUROPATHY | 5 AXONAL REGENERATION | 7B Regeneration, axon cluster EM 1 - Copy

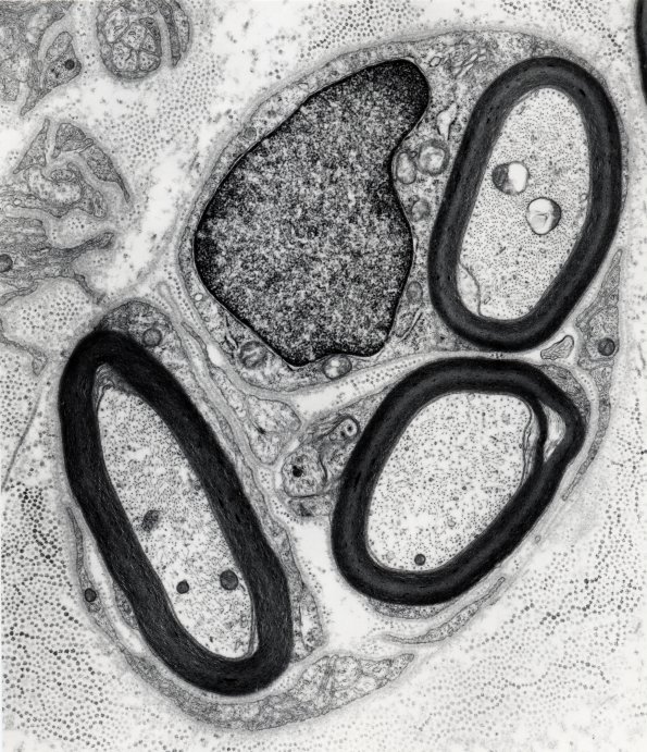
7B Regeneration, axon cluster EM 1 - Copy
The common basal lamina here is easily seen. (electron micrograph)


Gallery RSS RSS Feed | Archive View | Login | Powered by Zenphoto