Table of Contents
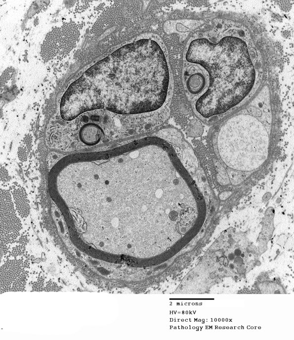
Washington University Experience | PERIPHERAL NEUROPATHY | 5 AXONAL REGENERATION | 7C Regeneration, axonal clusters (Case 2) 020 - Copy
7C-E Multiple examples of regenerating clusters, most with residual basal laminae. (electron micrographs)
