Table of Contents
Washington University Experience | PERIPHERAL NEUROPATHY | 5 AXONAL REGENERATION | 7D1 (Rat regenerative cluster)
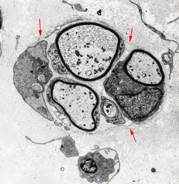
This image shows a regenerative cluster of 3 myelinated axons and a process rich in tubulovesicular elements likely also a regenerating axon. A common basement membrane (arrows) surrounds all the elements. (Electron micrograph)
