Table of Contents



Washington University Experience | PERIPHERAL NEUROPATHY | 5 AXONAL REGENERATION | 7E Regeneration, axonal clusters (Case 2) 006 - Copy

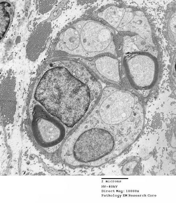
7E Regeneration, axonal clusters (Case 2) 006 - Copy
Clusters of axons may be at different stages of maturation. (electron micrograph)


Gallery RSS RSS Feed | Archive View | Login | Powered by Zenphoto