Table of Contents
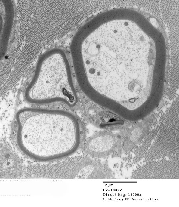
Washington University Experience | PERIPHERAL NEUROPATHY | 5 AXONAL REGENERATION | 7G1 Axonal Degeneration with Prominent Regeneration (Case 11) EM 023A - Copy
7G1,2 In this regenerative cluster the common membrane is shown. (electron micrograph)
