Table of Contents
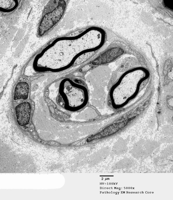
Washington University Experience | PERIPHERAL NEUROPATHY | 5 AXONAL REGENERATION | 7H1 Axonal Regeneration, Diabetic NP (Case 7) EM 041 - Copy
7H1,2 In this diabetic patient the basal lamina appears very thick and sturdy (perhaps by glycation of the basement membrane?) (electron micrograph)
