Table of Contents
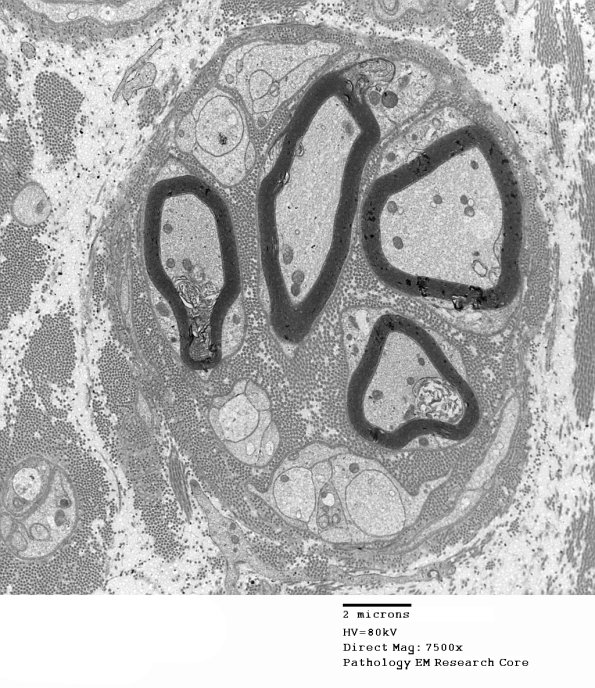
Washington University Experience | PERIPHERAL NEUROPATHY | 5 AXONAL REGENERATION | 7I Regeneration, axonal clusters (Case 2) 036 - Copy
Typically clusters often lose the original uniting membrane with time. Also, with time the number of regenerating clusters of axons dwindles to a single axon; however, it rarely reaches a normal appearance and usually results in an axon with diminished myelin thickness for axon caliber (we call it “thinned-myelin-for-axon-caliber”). These structures often prompt a diagnosis of demyelination but they are typically not accompanied by various stages of demyelination/remyelination and occur in a setting of axonal degeneration.(electron micrograph)
