Table of Contents
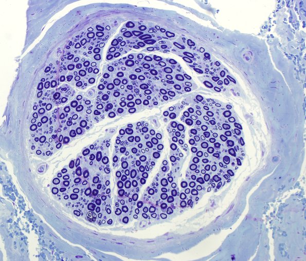
Washington University Experience | PERIPHERAL NEUROPATHY | 5 AXONAL REGENERATION | 8A Axon thin for Caliber (Case 12) Plastic 4.jpg
8A Although the fully myelinated axon dominates this image, there are numerous “thinned-myelin-for-axon-caliber” regenerated axons. (Toluidine blue stained one-micron thick plastic sections)
