Table of Contents
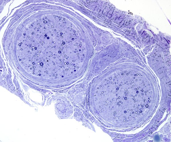
Washington University Experience | PERIPHERAL NEUROPATHY | 5 AXONAL REGENERATION | 8B1 Axonal degeneration, thin for caliber (Case 13) Plastic 14.jpg
8B1,2 In this example there are very few large myelinated axons and numerous “thinned-myelin-for-axon-caliber” with few remaining clusters. (Toluidine blue stained one-micron thick plastic sections)
