Table of Contents
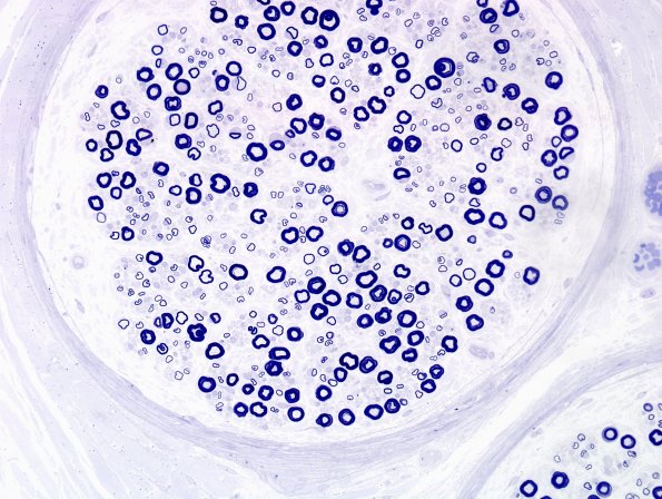
Washington University Experience | PERIPHERAL NEUROPATHY | 5 AXONAL REGENERATION | 8C1 Axonal Degeneration, thin for caliber (Case 14) Plastic 11.jpg
8C1,2 This beautifully preserved fascicle shows numerous thin myelin for caliber axons. (Toluidine blue stained one-micron thick plastic sections)
