Table of Contents
Washington University Experience | PERIPHERAL NEUROPATHY | 5 AXONAL REGENERATION | 9B2 W25-1606 Bridgers A (Case 16) Sural_022 - Copy
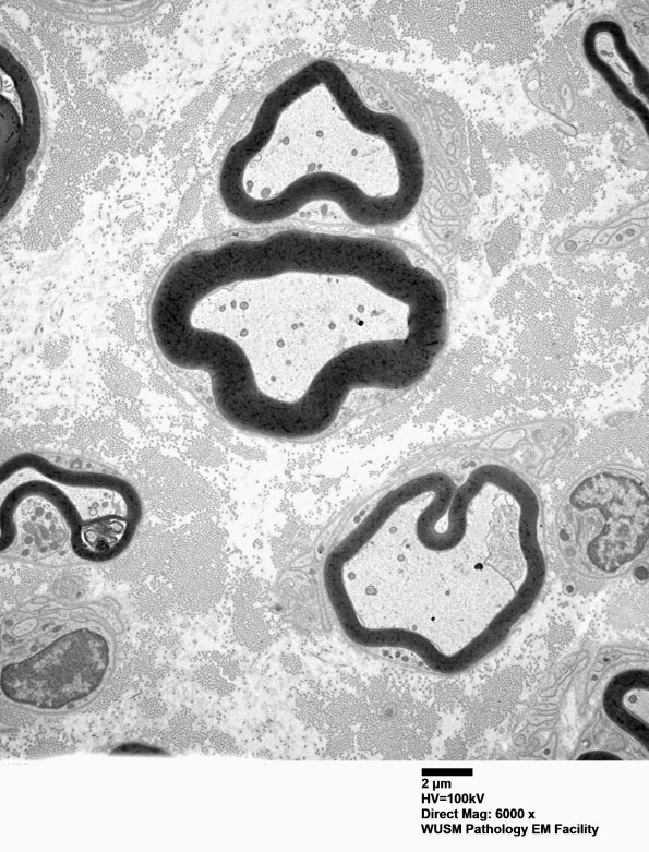
There is little to identify these axons as regenerated other than “thinned-myelin-for-axon-caliber”. (electron micrographs)
