Table of Contents
Washington University Experience | PERIPHERAL NEUROPATHY | 5 AXONAL REGENERATION | 9C1 EM20-Case 17 Hunter Cai - Copy
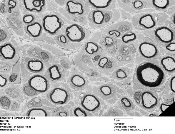
9C1-3 The number of “thinned-myelin-for-axon-caliber” axons is remarkable in this case (EMs thanks to Chunyu Cai, UT Southwestern)
