Table of Contents
Washington University Experience | PERIPHERAL NEUROPATHY | 5 AXONAL REGENERATION | 9C2 EM20-Case 17 003 - Copy
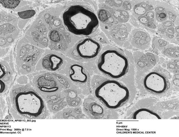
The number of “thinned-myelin-for-axon-caliber” axons is remarkable in this case (EMs thanks to Chunyu Cai, UT Southwestern)
