Table of Contents
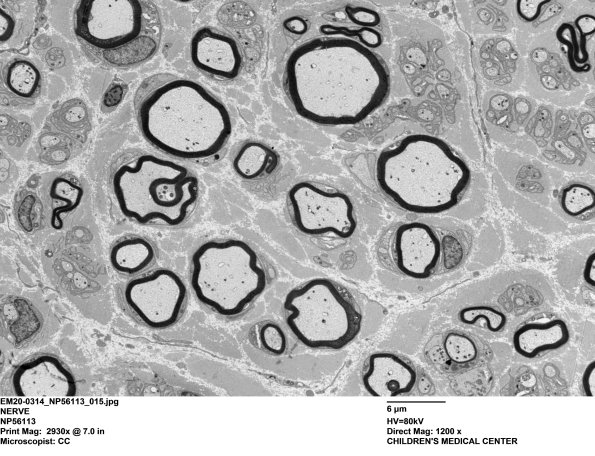
Washington University Experience | PERIPHERAL NEUROPATHY | 5 AXONAL REGENERATION | 9C3 EM20-Case 17_015 - Copy
The number of “thinned-myelin-for-axon-caliber” axons is remarkable in this case (EMs thanks to Chunyu Cai, UT Southwestern)
