Table of Contents
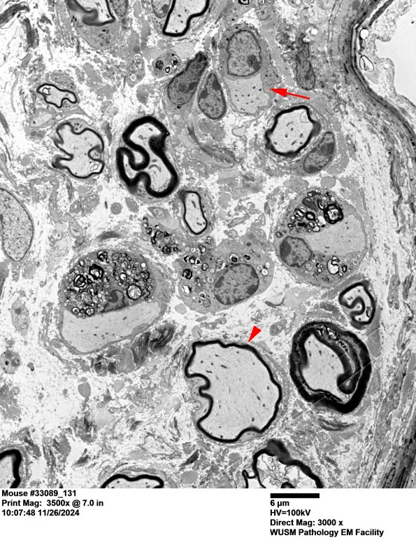
Washington University Experience | PERIPHERAL NEUROPATHY | 6 AXONAL DEMYELINATION (BASIC PROCESS) | 2A1 Mouse #33089 (Case 2) 131AA copy.jpg
Case 2 This is a demyelinative neuropathy in a knockout mouse. ---- 2A1,2 This low magnification image of the peripheral nerve shows several axons which are demyelinated with Schwann cell myelin debris, another naked fiber with an adjacent Schwann cell without debris (arrow), presumably preparing to regenerate, and a thinly remyelinated axon (arrowhead). (electron micrographs)
