Table of Contents



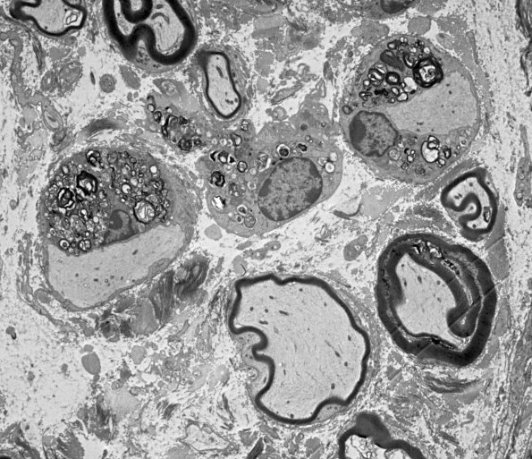
Washington University Experience | PERIPHERAL NEUROPATHY | 6 AXONAL DEMYELINATION (BASIC PROCESS) | 2A2 Mouse #33089 (Case 2) 064.jpg

2A2 Mouse #33089 (Case 2) 064.jpg
Higher magnification of image #2A1. (electron micrograph)


Gallery RSS RSS Feed | Archive View | Login | Powered by Zenphoto